EBSTEIN'S ANOMALY
RECOGNISING AND BASIC VARIATIONS
Ebstein’s anomaly is a rare condition that can present at any age. The severity of Ebstein’s anomaly directly correlates with the age of presentation, starting in fetal life to adulthood. The spectrum of this condition results in a variety of presentations from asymptomatic to severe cyanosis or life-threatening. We will go through recognition and diagnosis of this condition in apical views.
The diagnostic abnormality includes:
Displacement of Septal leaflet of tricuspid valve apically.
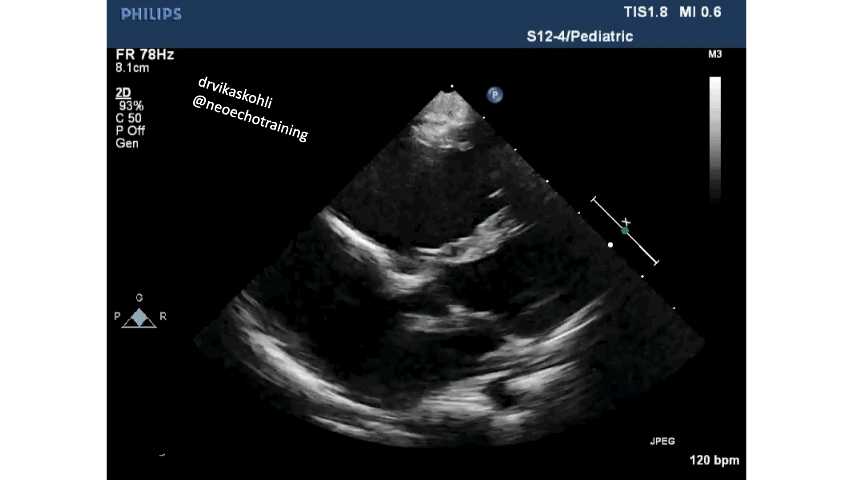
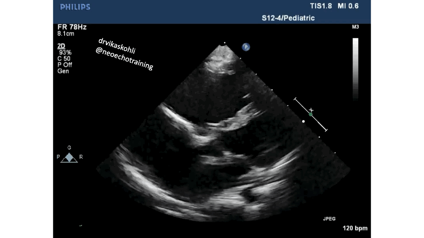
There are several abnormalities here:
a). The Tricuspid Leaflets are HUGE
b). The leaflets are seen septal (along the septum and the Anterior which is along the free wall).
c). The Septal leaflet if you look carefully ( and in the picture below) is stuck to the septum and moves only near the apex of the RV:
There are other leaflets: anterior and posterior. They may also be abnormal. They could be displaced or could be abnormally large sail-like.
This is associated with severe TR which is normal pressure TR.
The RV from the true tricuspid attachment to the new septal leaflet attachment is referred to as Atrialized RV.
Which view shows which Leaflet of TCV:
The Xray of Severe Neonatal Ebstein’s will look like the following:
The common associations of Ebstein’s are:
WPW syndrome on ECG
ASD
Pulmonary Stenosis
Functional Pulmonary Atresia
VSD
More topics will be covered in the Lecture:
Which view shows which leaflet of TCV
How to Assess Severity of TCV
Mortality rates with severity
Extensive study of variations in RV, Each leaflet and their implication







